Hotline Messenger Zalo
 

Áp xe răng: Dấu hiệu, nguyên nhân và cách điều trị an toàn

Tháng 2 9, 2026by viethandn Nhakhoa0

Áp xe răng là một trong những bệnh lý răng miệng nguy hiểm, có thể gây đau nhức kéo dài và ảnh hưởng nghiêm trọng đến sức khỏe nếu không được điều trị kịp thời. Nhiều người thường chủ quan khi thấy răng sưng đau nhẹ, dẫn đến nhiễm trùng lan rộng và khó kiểm soát. Cùng Nha Khoa Việt Hàn tìm hiểu nguyên nhân, dấu hiệu và cách điều trị áp xe răng an toàn.

Áp xe răng là gì?

Áp xe răng là tình trạng nhiễm trùng mủ hình thành quanh chóp răng, chân răng hoặc mô nướu. Khi vi khuẩn từ sâu răng, viêm nướu hoặc răng nứt xâm nhập vào tủy mà không được xử lý, cơ thể sẽ phản ứng bằng cách tạo ổ mủ để cô lập vi khuẩn. Chính ổ mủ này gây ra đau nhức, sưng viêm và nhiều triệu chứng khó chịu khác.

Nướu sưng phồng bất thường quanh răng hàm có thể là dấu hiệu áp xe răng, tiềm ẩn ổ mủ và nhiễm trùng nguy hiểm.
Nướu sưng phồng bất thường quanh răng hàm có thể là dấu hiệu áp xe răng, tiềm ẩn ổ mủ và nhiễm trùng nguy hiểm.

 

Nguyên nhân gây áp xe răng

 

Nguyên nhân thường gặp nhất của áp xe răng là sâu răng lâu ngày không điều trị, khiến vi khuẩn phá hủy men răng và đi sâu vào tủy. Bên cạnh đó, viêm nướu, viêm nha chu, răng nứt gãy do chấn thương hoặc chăm sóc răng miệng không đúng cách cũng tạo điều kiện cho vi khuẩn phát triển. Ở những người có sức đề kháng kém, quá trình nhiễm trùng diễn ra nhanh và nghiêm trọng hơn, làm ổ áp xe lan rộng trong thời gian ngắn.

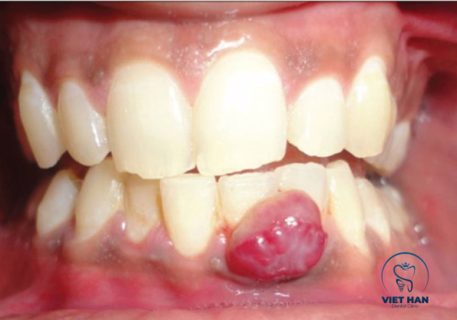
Khối sưng chứa mủ xuất hiện ở răng trước thường liên quan đến áp xe răng, gây đau và mất thẩm mỹ nếu chậm điều trị.
Khối sưng chứa mủ xuất hiện ở răng trước thường liên quan đến áp xe răng, gây đau và mất thẩm mỹ nếu chậm điều trị.

 

Dấu hiệu nhận biết áp xe răng

 

Áp xe răng thường gây đau nhức dữ dội, cơn đau có thể lan lên tai, thái dương hoặc xuống cổ. Vùng nướu quanh răng bị viêm thường sưng đỏ, căng tức và có thể xuất hiện mụn mủ. Khi ổ mủ vỡ, người bệnh sẽ thấy chảy mủ kèm mùi hôi khó chịu trong miệng.

Tình trạng nướu phồng to, đỏ đậm kéo dài có thể là áp xe răng mạn tính, dễ vỡ mủ và gây hôi miệng.
Tình trạng nướu phồng to, đỏ đậm kéo dài có thể là áp xe răng mạn tính, dễ vỡ mủ và gây hôi miệng.

 

Ngoài ra, áp xe răng còn có thể gây sốt, mệt mỏi, hơi thở có mùi và răng đổi màu. Đáng lưu ý, một số trường hợp không còn cảm giác đau do tủy đã hoại tử, nhưng nhiễm trùng vẫn âm thầm tiến triển và rất nguy hiểm.

 

Nguy hiểm tiềm ẩn của áp xe răng?

 

Áp xe răng không chỉ gây đau mà còn tiềm ẩn nhiều biến chứng nghiêm trọng. Nếu không điều trị sớm, nhiễm trùng có thể lan sang xương hàm, xoang hàm, mô mặt hoặc thậm chí đi vào máu, đe dọa sức khỏe toàn thân. Vì vậy, áp xe răng tuyệt đối không nên trì hoãn điều trị, kể cả khi triệu chứng đau đã giảm.

Tình trạng nướu phồng to, đỏ đậm kéo dài có thể là áp xe răng mạn tính, dễ vỡ mủ và gây hôi miệng.
Tình trạng nướu phồng to, đỏ đậm kéo dài có thể là áp xe răng mạn tính, dễ vỡ mủ và gây hôi miệng.

 

Điều trị áp xe răng như thế nào?

 

Việc điều trị áp xe răng cần được thực hiện tại nha khoa. Trước tiên, bác sĩ sẽ xử lý ổ nhiễm trùng bằng cách dẫn lưu mủ và làm sạch vùng viêm. Sau đó, người bệnh được chỉ định thuốc kháng sinh và kháng viêm phù hợp để kiểm soát vi khuẩn.

ướu đỏ, viêm lan rộng kèm đau nhức là biểu hiện thường gặp khi áp xe răng chưa được xử lý đúng cách.
ướu đỏ, viêm lan rộng kèm đau nhức là biểu hiện thường gặp khi áp xe răng chưa được xử lý đúng cách.

 

Tùy mức độ tổn thương, răng có thể được điều trị tủy để bảo tồn hoặc phải nhổ bỏ nếu không còn khả năng giữ lại. Sau khi nhiễm trùng ổn định, bác sĩ sẽ tư vấn phương án phục hình nhằm đảm bảo chức năng ăn nhai và thẩm mỹ.

 

Có nên tự chữa áp xe răng tại nhà không?

 

Các biện pháp tại nhà như súc miệng nước muối hay dùng thuốc giảm đau chỉ giúp giảm triệu chứng tạm thời, không thể loại bỏ ổ mủ nhiễm trùng. Việc tự ý điều trị có thể khiến áp xe răng tiến triển nặng hơn và gây biến chứng nguy hiểm. Cách an toàn nhất vẫn là thăm khám nha khoa càng sớm càng tốt.

Chấm mủ trắng nhỏ trên nướu là dấu hiệu sớm của áp xe răng, thường âm thầm tiến triển và khó tự khỏi.
Chấm mủ trắng nhỏ trên nướu là dấu hiệu sớm của áp xe răng, thường âm thầm tiến triển và khó tự khỏi.

 

Cách phòng ngừa áp xe răng hiệu quả?

 

Duy trì vệ sinh răng miệng đúng cách, đánh răng đều đặn và làm sạch kẽ răng mỗi ngày là nền tảng quan trọng để phòng ngừa áp xe răng. Bên cạnh đó, việc thăm khám định kỳ và điều trị sớm các bệnh lý như sâu răng hay viêm nướu sẽ giúp ngăn chặn nguy cơ nhiễm trùng từ sớm.

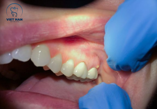
Sưng nướu khu trú, ấn đau quanh chân răng cảnh báo áp xe răng, cần thăm khám nha khoa càng sớm càng tốt.
Sưng nướu khu trú, ấn đau quanh chân răng cảnh báo áp xe răng, cần thăm khám nha khoa càng sớm càng tốt.

 

Áp xe răng là bệnh lý răng miệng không thể xem nhẹ, bởi nhiễm trùng có thể âm thầm lan rộng và gây ảnh hưởng nghiêm trọng đến sức khỏe toàn thân nếu điều trị muộn. Tại Nha Khoa Việt Hàn, mỗi ca áp xe răng đều được bác sĩ trực tiếp thăm khám, chẩn đoán ưu tiên bảo tồn răng thật và kiểm soát đau hiệu quả cho khách hàng. Nếu bạn đang có dấu hiệu áp xe răng, hãy liên hệ Nha Khoa Việt Hàn ngay hôm nay để được tư vấn và điều trị kịp thời.

Leave a Reply

Your email address will not be published. Required fields are marked *

https://viethannhakhoa.com/wp-content/uploads/2023/06/Asset-1.png

Trao nụ cười – Nhận yêu thương

Nha Khoa Việt Hàn định hướng phát triển trở thành nha khoa uy tín – chất lượng cao tiêu chuẩn quốc tế

    This will close in 0 seconds