Hotline Messenger Zalo
 

Cảnh báo: 7 dấu hiệu răng yếu KHÔNG nên bọc sứ

Tháng mười một 21, 2025by viethandn Nhakhoa0

Bọc răng sứ là giải pháp mang lại nụ cười trắng sáng, đều đẹp và tự tin hơn. Tuy nhiên, không phải chiếc răng nào cũng đủ điều kiện để bọc sứ. Trong nha khoa, chỉ định bọc sứ đòi hỏi răng – nướu – xương phải đạt độ khỏe nhất định, đảm bảo rằng quá trình mài răng và chịu lực sau này không khiến răng yếu đi.

Để tránh những rủi ro như đau nhức kéo dài, viêm nhiễm, hỏng tủy, thậm chí mất răng, bạn nhất định phải hiểu rõ 7 dấu hiệu răng yếu KHÔNG nên bọc sứ dưới đây cùng Nha khoa Việt Hàn nhé!

1. Răng lung lay – dấu hiệu dây chằng nha chu suy yếu

Răng lung lay, dù nhẹ, là dấu hiệu hệ thống dây chằng quanh răng và xương ổ răng đang yếu, chưa đủ vững để chịu lực từ mão sứ.

Nếu bọc sứ trong tình trạng này, việc mài răng sẽ làm giảm thêm mô răng, răng càng yếu hơn, lực nhai tác động dễ khiến răng lung lay nhiều hơn và tăng nguy cơ mất răng sớm.

Hướng xử lý phù hợp là điều trị nha chu, làm sạch túi nha chu và chụp phim đánh giá xương để đảm bảo răng ổn định trước khi tiến hành thẩm mỹ.

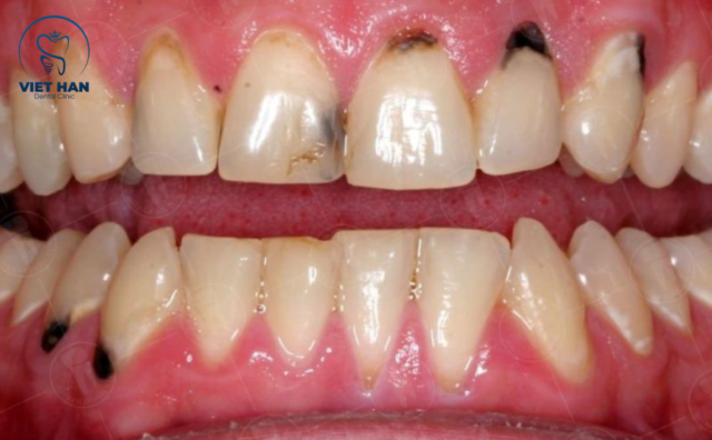
2. Viêm nha chu – nướu chảy máu, sưng đỏ, hơi thở có mùi

Viêm nha chu là tình trạng nhiễm trùng mô nâng đỡ răng, khiến nướu và xương quanh răng suy yếu.

Dấu hiệu nhận biết bao gồm chảy máu khi chải răng, nướu đỏ – sưng – dễ đau, tụt nướu khiến răng trông dài hơn bình thường và hơi thở có mùi khó chịu.

Nếu bọc sứ khi răng đang viêm, nướu yếu không đủ khả năng nâng đỡ mão răng, dễ dẫn đến đau kéo dài, mão sứ hở, nhét thức ăn và tăng nguy cơ nhiễm trùng.

Hướng xử lý trước khi thẩm mỹ là điều trị nha chu triệt để, cạo vôi – xử lý túi nha chu và tái khám để đảm bảo nướu ổn định, răng đủ khỏe cho quá trình bọc sứ.

Vì sao viêm nha chu không nên bọc sứ?
Vì sao viêm nha chu không nên bọc sứ?

3. Răng sâu lớn, mất mô răng quá nhiều

Răng sâu làm mất cấu trúc tự nhiên, khiến mô răng còn lại không đủ chắc để mài bọc sứ.

Nếu cố bọc sứ trong tình trạng này, mão răng dễ rơi rụng, vỡ hoặc bật khỏi răng. Ngoài ra, răng cũng có nguy cơ đau tủy hoặc viêm tủy do mài vào lớp ngà yếu, thậm chí dễ gãy ngang thân.

Hướng xử lý phù hợp là trám phục hồi nếu sâu nhẹ, điều trị tủy nếu sâu lớn, hoặc lựa chọn chụp kim loại đúc (inox – titan) khi mô răng quá yếu để đảm bảo an toàn và bền vững.

4. Răng ê buốt nặng, nhạy cảm nóng lạnh

Răng ê buốt là dấu hiệu men răng và ngà răng đã bị tổn thương, khiến răng trở nên nhạy cảm với nóng, lạnh hoặc thức ăn cứng.

Nếu bọc sứ trong tình trạng này, quá trình mài răng sẽ làm lộ ngà nhiều hơn, dẫn đến đau buốt kéo dài, nguy cơ phải điều trị tủy ngoài ý muốn và khó ăn uống bình thường trong thời gian dài.

Hướng xử lý trước khi bọc sứ là điều trị kiểm soát ê buốt, tái khoáng men răng hoặc phục hồi vùng nhạy cảm để răng đủ khỏe và ổn định.

5. Chân răng ngắn – tiêu xương – răng không đủ độ giữ

Khi chân răng ngắn hoặc xương nâng đỡ bị tiêu nhiều, răng sẽ không đủ vững để chịu lực nhai, làm tăng nguy cơ răng yếu sau khi bọc sứ.

Nếu bọc sứ trong tình trạng này, mão sứ dễ bị rơi, răng có thể gãy dưới mức đường nướu, khó phục hồi và nguy cơ viêm quanh chân răng cũng cao hơn.

Hướng xử lý là chụp phim 3D Conebeam để đánh giá chính xác chiều dài chân răng và tình trạng xương. Tùy trường hợp, bác sĩ có thể điều trị nha chu, ghép nướu hoặc ghép xương trước khi tiến hành bọc sứ để đảm bảo an toàn và bền vững.

6. Răng nứt đứng sâu – chống chỉ định bọc sứ

Vết nứt đứng chạy từ mặt nhai xuống chân răng là một trong những tình trạng nguy hiểm nhất của răng. Khi xuất hiện đường nứt sâu, bác sĩ cần đánh giá kỹ xem răng còn khả năng phục hồi hay không.

Nếu cố bọc sứ trong giai đoạn này, việc mài răng sẽ khiến vết nứt lan rộng, răng yếu dần và thậm chí tách đôi khi ăn nhai. Đây là nguyên nhân khiến tỷ lệ phải nhổ bỏ răng rất cao.

Hướng xử lý tùy thuộc mức độ nứt: có thể điều trị tủy – đặt chốt – làm mão bảo tồn nếu đường nứt chưa quá sâu; hoặc nhổ răng và trồng implant nếu răng đã nứt đến chân, không còn khả năng phục hồi.

Khi nào không nên bọc sứ?
Khi nào không nên bọc sứ?

 

7. Răng mới điều trị tủy nhưng chưa ổn định

Sau khi điều trị tủy, răng cần một khoảng thời gian theo dõi để đảm bảo đã hồi phục hoàn toàn. Đây là giai đoạn quan trọng để bác sĩ đánh giá:

  • Cảm giác đau đã hết hay chưa

  • Vùng chóp răng đã lành ổn định hay còn dấu hiệu viêm

  • Có tình trạng viêm quanh chóp hoặc đau âm ỉ khi nhai không

Nếu bọc sứ quá sớm khi răng chưa ổn định, răng dễ đau trở lại, viêm tái phát hoặc phải tháo mão để điều trị lại. Vì vậy, răng sau tủy nên được theo dõi 1–2 tuần và chụp phim kiểm tra trước khi phục hình bằng mão sứ.

Không phải chiếc răng nào cũng đủ khỏe để bọc sứ. Nhận biết sớm các dấu hiệu răng yếu giúp bạn tránh đau nhức, viêm nhiễm và những rủi ro không đáng có. Nếu còn băn khoăn về tình trạng của mình, bạn nên đến Nha khoa Việt Hàn để được bác sĩ thăm khám và tư vấn chính xác nhé!

Leave a Reply

Your email address will not be published. Required fields are marked *

https://viethannhakhoa.com/wp-content/uploads/2023/06/Asset-1.png

Trao nụ cười – Nhận yêu thương

Nha Khoa Việt Hàn định hướng phát triển trở thành nha khoa uy tín – chất lượng cao tiêu chuẩn quốc tế

    This will close in 0 seconds