Hotline Messenger Zalo
 

Top 5 chất liệu trám răng bền nhất hiện nay bạn nên biết

Tháng 3 7, 2026by viethandn Nhakhoa0

Hiện nay có nhiều chất liệu liệu trám răng khác nhau, mỗi loại có đặc điểm riêng về độ bền, tính thẩm mỹ và chi phí. Việc lựa chọn đúng chất liệu sẽ giúp miếng trám bền chắc hơn và duy trì lâu dài. Hãy cùng Nha khoa Việt Hàn tìm hiểu top 5 chất liệu trám răng bền nhất hiện nay được các nha sĩ sử dụng phổ biến.

1. Composite – chất liệu trám răng phổ biến nhất

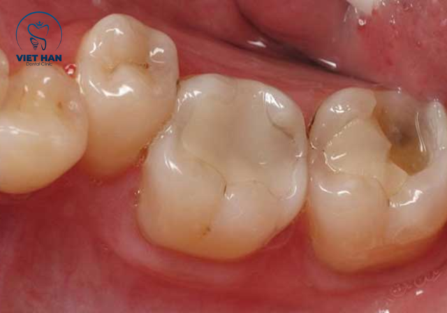
Composite là vật liệu trám răng được sử dụng rộng rãi hiện nay nhờ tính thẩm mỹ cao và độ bền khá tốt. Chất liệu này là hỗn hợp của nhựa nha khoa và các hạt thủy tinh hoặc thạch anh mịn.

Composite là chất liệu trám răng giúp nụ cười đều đẹp hơn.
Composite là chất liệu trám răng giúp nụ cười đều đẹp hơn.

Ưu điểm

  • Màu sắc gần giống răng thật, khó nhận ra vết trám
  • Có khả năng bám dính tốt với mô răng
  • Dễ tạo hình, phù hợp với nhiều vị trí răng
  • Không chứa thủy ngân, an toàn cho cơ thể

Nhược điểm

  • Có thể bị đổi màu theo thời gian nếu uống nhiều cà phê, trà
  • Miếng trám có thể mòn hoặc bong nếu chịu lực mạnh

Độ bền và ứng dụng

  • 5 – 7 năm, nếu chăm sóc tốt có thể kéo dài 7 – 9 năm.
  • Composite thường được sử dụng để trám răng cửa, răng thẩm mỹ hoặc răng bị mẻ nhỏ.

 

2. Trám sứ Inlay/Onlay – chất liệu trám răng bền và thẩm mỹ cao

Trám sứ Inlay/Onlay là phương pháp trám răng gián tiếp, trong đó chất liệu trám răng được chế tác từ sứ trong phòng labo theo khuôn răng của từng bệnh nhân rồi gắn cố định vào răng.

Miếng trám sứ onlay/inlay hiện đại là chất liệu trám răng giúp phục hồi hình dạng và màu sắc tự nhiên.
Miếng trám sứ onlay/inlay hiện đại là chất liệu trám răng giúp phục hồi hình dạng và màu sắc tự nhiên.

 

Ưu điểm

  • Độ bền rất cao, chịu lực nhai tốt
  • Không bị đổi màu theo thời gian
  • Tính thẩm mỹ gần như răng thật
  • Khả năng chống mài mòn và bám bẩn tốt

Nhược điểm

  • Chi phí cao hơn các phương pháp trám thông thường
  • Cần 2 – 3 lần hẹn để hoàn thành
  • Đòi hỏi kỹ thuật nha khoa chính xác

Độ bền và ứng dụng

  • 10 – 20 năm nếu chăm sóc răng miệng tốt.
  • Phương pháp này thường được chỉ định cho răng hàm sâu lớn, răng nứt hoặc mẻ nhiều.

3. Trám răng bằng vàng và kim loại quý

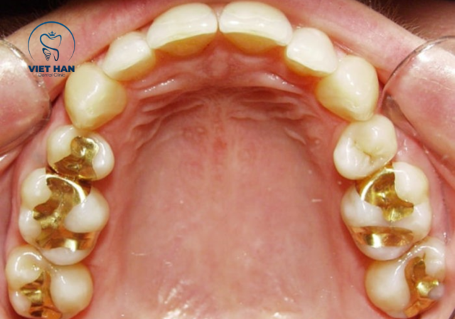
Trám răng bằng vàng hoặc kim loại quý là kỹ thuật nha khoa đã xuất hiện từ lâu nhưng vẫn được đánh giá rất cao về độ bền.

Một số chất liệu trám răng như vàng được sử dụng trong nha khoa nhờ độ bền vượt trội.
Một số chất liệu trám răng như vàng được sử dụng trong nha khoa nhờ độ bền vượt trội.

Ưu điểm

  • Khả năng chịu lực nhai cực tốt
  • Ít bị mài mòn hoặc bong tróc
  • Tuổi thọ rất dài

Nhược điểm

  • Màu sắc khác với răng thật nên kém thẩm mỹ
  • Chi phí khá cao
  • Quy trình thực hiện phức tạp

Độ bền và ứng dụng

  • 10 – 20 năm hoặc lâu hơn nếu chăm sóc đúng cách.
  • Vật liệu này thường được sử dụng để trám răng hàm phía trong, nơi không ảnh hưởng nhiều đến thẩm mỹ.

4. Amalgam – chất liệu trám răng truyền thống

Amalgam là chất liệu trám răng truyền thống được sử dụng trong nha khoa từ hàng trăm năm trước. Chất liệu này là hỗn hợp của thủy ngân và các kim loại như bạc, đồng, thiếc.

Miếng trám Amalgam là một dạng chất liệu trám răng có độ bền cao cho răng hàm chịu lực.
Miếng trám Amalgam là một dạng chất liệu trám răng có độ bền cao cho răng hàm chịu lực.

Ưu điểm

  • Độ bền cao, chịu lực tốt
  • Chi phí thấp
  • Quy trình trám nhanh chóng

Nhược điểm

  • Màu bạc xám không thẩm mỹ
  • Có thể làm răng xung quanh đổi màu
  • Một số người nhạy cảm với thành phần kim loại

Độ bền và ứng dụng

  • 7 – 15 năm.
  • Amalgam chủ yếu được sử dụng để trám răng hàm chịu lực nhai mạnh.

5. Chất liệu trám răng GIC (Glass Ionomer Cement)

GIC là chất liệu trám răng có khả năng giải phóng fluor giúp phòng ngừa sâu răng, được sử dụng khá phổ biến trong nha khoa.

Tình trạng sâu răng nhẹ thường được xử lý nhanh chóng bằng chất liệu trám răng GIC thẩm mỹ.
Tình trạng sâu răng nhẹ thường được xử lý nhanh chóng bằng chất liệu trám răng GIC thẩm mỹ.

Ưu điểm

  • Có khả năng chống sâu răng nhờ giải phóng fluor
  • Tương thích sinh học cao
  • Màu sắc khá tự nhiên
  • Chi phí hợp lý

Nhược điểm

  • Khả năng chịu lực thấp

 

  • Dễ mòn hơn so với composite hoặc sứ

Độ bền và ứng dụng

  • 3 – 5 năm.
  • GIC thường được sử dụng để trám răng sữa, trám cổ răng hoặc trám phòng ngừa sâu răng.

Cách chọn chất liệu trám răng phù hợp

 

Tiêu chí Trường hợp Vật liệu trám phù hợp
Vị trí răng cần trám Răng cửa Composite hoặc sứ (thẩm mỹ cao)
Răng hàm Amalgam, sứ hoặc kim loại (chịu lực tốt)
Mức độ tổn thương của răng Sâu răng nhẹ Composite hoặc GIC
Răng vỡ lớn Sứ Inlay/Onlay hoặc kim loại
Nhu cầu thẩm mỹ Muốn màu răng tự nhiên Composite hoặc sứ
Ưu tiên độ bền Vàng, kim loại hoặc sứ
Điều kiện tài chính Chi phí thấp GIC, Amalgam
Chi phí trung bình Composite
Cao cấp Sứ hoặc vàng

 

Cách giữ miếng trám răng bền lâu

Để tăng tuổi thọ của miếng trám, ngoài lựa chọn chất liệu trám răng, bạn nên lưu ý:

  • Tránh ăn đồ quá cứng trong vài giờ đầu sau khi trám
  • Chải răng 2 lần mỗi ngày bằng bàn chải lông mềm
  • Dùng chỉ nha khoa để làm sạch kẽ răng
  • Hạn chế cà phê, trà đậm để tránh đổi màu miếng trám
  • Khám răng định kỳ 6 tháng/lần
Quy trình điều trị sâu răng và phục hồi bằng chất liệu trám răng giúp bảo vệ cấu trúc răng thật.
Quy trình điều trị sâu răng và phục hồi bằng chất liệu trám răng giúp bảo vệ cấu trúc răng thật.

 

Trám răng an toàn tại Nha khoa Việt Hàn

Tại Nha Khoa Việt Hàn, dịch vụ trám răng được thực hiện theo quy trình chuẩn nha khoa với vật liệu chất lượng cao và công nghệ hiện đại. Bác sĩ sẽ kiểm tra tình trạng răng miệng, tư vấn loại chất liệu trám răng phù hợp nhất nhằm đảm bảo cả độ bền lẫn tính thẩm mỹ. Ngoài ra, khách hàng còn được hướng dẫn chăm sóc răng miệng sau khi trám để duy trì kết quả lâu dài và hạn chế tối đa nguy cơ bong tróc miếng trám.

Kết luận

Các chất liệu trám răng hiện nay rất đa dạng, nhưng Composite, sứ Inlay/Onlay, vàng – kim loại, Amalgam và GIC vẫn là những lựa chọn phổ biến nhất. Mỗi loại có ưu – nhược điểm riêng về độ bền, thẩm mỹ và chi phí. Vì vậy, trước khi trám răng, bạn nên thăm khám tại Nha khoa Việt Hàn để được bác sĩ tư vấn vật liệu phù hợp với tình trạng răng và nhu cầu cá nhân.

Bài viết liên quan

Trám răng sâu là gì? Khi nào cần trám để tránh mất răng

Trám răng có bền không? Bí quyết tăng tuổi thọ khi trám răng

Leave a Reply

Your email address will not be published. Required fields are marked *

https://viethannhakhoa.com/wp-content/uploads/2023/06/Asset-1.png

Trao nụ cười – Nhận yêu thương

Nha Khoa Việt Hàn định hướng phát triển trở thành nha khoa uy tín – chất lượng cao tiêu chuẩn quốc tế

    This will close in 0 seconds