Hotline Messenger Zalo
 

Có được niềng răng một hàm không? Lưu ý trước khi niềng?

Tháng 3 18, 2026by viethandn Nhakhoa0

Niềng răng một hàm được nhiều người quan tâm khi muốn tiết kiệm chi phí và thời gian. Tuy nhiên, không phải ai cũng phù hợp với phương án này. Việc có được niềng không cần được bác sĩ thăm khám kỹ lưỡng để đảm bảo hiệu quả. Cùng Nha Khoa Việt Hàn tìm hiểu về phương pháp niềng răng này!

 

Niềng răng một hàm là gì?

Thông thường, bác sĩ sẽ chỉ định niềng cả hai hàm để đảm bảo sự cân đối khớp cắn. Tuy nhiên, niềng răng một hàm giúp cải thiện thẩm mỹ nhanh hơn, ít tốn kém hơn. Dù vậy, quyết định niềng một hay hai hàm cần dựa trên phân tích về khớp cắn, mức độ lệch lạc và cấu trúc xương hàm.

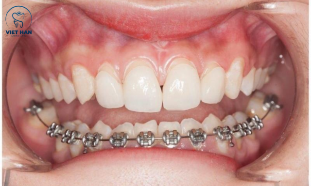
Niềng răng một hàm giúp sắp xếp răng lệch nhẹ về đúng vị trí, cải thiện thẩm mỹ nụ cười.
Niềng răng một hàm giúp sắp xếp răng lệch nhẹ về đúng vị trí, cải thiện thẩm mỹ nụ cười.

 

Trường hợp nào có thể niềng răng một hàm?

Niềng răng một hàm thường được chỉ định khi khớp cắn gần như chuẩn và chỉ có sai lệch nhẹ ở một hàm. Một số tình huống phổ biến gồm:

  • Răng thưa nhẹ ở hàm trên hoặc hàm dưới, khoảng cách nhỏ.
  • Răng chen chúc ít, khấp khểnh nhẹ cần sắp xếp lại để dễ vệ sinh và tăng tính thẩm mỹ.
  • Móm nhẹ hoặc hô nhẹ ở một vài răng, trong khi hàm còn lại vẫn đều và ổn định.
  • Trẻ em chỉnh nha sớm nhằm định hướng sự phát triển của răng trước khi niềng toàn diện.
  • Trong những trường hợp này, bác sĩ sẽ tính toán lực chỉnh nha cẩn thận để sau điều trị vẫn duy trì được khớp cắn hài hòa.
Niềng răng một hàm phù hợp khi chỉ một vài răng bị lệch nhẹ.
Niềng răng một hàm phù hợp khi chỉ một vài răng bị lệch nhẹ.

 

Vì sao đa số trường hợp cần niềng cả hai hàm?

Mặc dù niềng răng một hàm có thể thực hiện, nhưng chỉnh nha hai hàm vẫn là phương án phổ biến hơn vì đảm bảo hiệu quả toàn diện. Khi chỉ chỉnh một bên, sự tương tác giữa hai hàm có thể bị thay đổi, dẫn đến lệch khớp cắn hoặc phân bổ lực nhai không đều.

Niềng răng một hàm có thể ảnh hưởng khớp cắn nếu chỉ định không chính xác.
Niềng răng một hàm có thể ảnh hưởng khớp cắn nếu chỉ định không chính xác.

 

Niềng cả hai hàm giúp bác sĩ kiểm soát tốt sự di chuyển của răng, tạo khớp cắn chuẩn và ổn định lâu dài. Điều này không chỉ cải thiện thẩm mỹ mà còn hạn chế nguy cơ mòn răng, đau khớp thái dương hàm hoặc tái phát sau tháo niềng.

 

Ưu điểm và hạn chế của niềng răng một hàm

Niềng một hàm có ưu điểm là chi phí thấp hơn, thời gian điều trị có thể ngắn hơn và ít gây bất tiện trong sinh hoạt. Với những trường hợp lệch nhẹ, phương pháp này vẫn mang lại hiệu quả cải thiện nụ cười rõ rệt.

Hạn chế của niềng răng một hàm là khó đảm bảo cân đối hai hàm.
Hạn chế của niềng răng một hàm là khó đảm bảo cân đối hai hàm.

 

Tuy nhiên, hạn chế lớn nhất là khó đảm bảo sự cân đối giữa hai hàm. Nếu chỉ định không chính xác, người bệnh có thể gặp tình trạng sai khớp cắn, khó nhai hoặc phải niềng lại toàn diện sau đó. Vì vậy, việc đánh giá ban đầu đóng vai trò rất quan trọng.

 

Lưu ý quan trọng trước khi niềng răng một hàm

Trước khi quyết định niềng một hàm, bạn nên chụp phim X-quang, lấy dấu răng và đánh giá khớp cắn toàn diện. Đây là cơ sở để bác sĩ xác định khả năng điều trị và dự đoán kết quả sau niềng. Hãy lựa chọn nha khoa uy tín và trang thiết bị hiện đại. Điều này giúp giảm rủi ro, đảm bảo quá trình niềng diễn ra an toàn và đạt hiệu quả thẩm mỹ tối ưu.

Niềng răng một hàm tại Nha khoa Việt Hàn

Tại Nha khoa Việt Hàn, khách hàng sẽ được thăm khám miễn phí, chụp phim đánh giá cấu trúc xương hàm và phân tích khớp cắn chi tiết trước khi quyết định niềng răng một hàm hay hai hàm. Đội ngũ bác sĩ chuyên môn cao sẽ xây dựng phác đồ điều trị phù hợp nhằm đảm bảo vừa cải thiện thẩm mỹ vừa duy trì chức năng ăn nhai ổn định lâu dài.

Khách hàng trải nghiệm niềng răng một hàm nhẹ nhàng và an toàn.
Khách hàng trải nghiệm niềng răng một hàm nhẹ nhàng và an toàn.

 

Kết luận

Niềng răng một hàm hoàn toàn có thể thực hiện nhưng chỉ phù hợp với những trường hợp sai lệch nhẹ và khớp cắn gần như chuẩn. Để đạt kết quả lâu dài, bạn nên lắng nghe tư vấn từ bác sĩ chỉnh nha. Nếu đang băn khoăn, hãy đến Nha khoa Việt Hàn để được kiểm tra và lựa chọn phương án điều trị phù hợp nhất.

Leave a Reply

Your email address will not be published. Required fields are marked *

https://viethannhakhoa.com/wp-content/uploads/2023/06/Asset-1.png

Trao nụ cười – Nhận yêu thương

Nha Khoa Việt Hàn định hướng phát triển trở thành nha khoa uy tín – chất lượng cao tiêu chuẩn quốc tế

    This will close in 0 seconds