Hotline Messenger Zalo
 

Sưng nướu răng: Dấu hiệu, nguyên nhân và cách xử lý hiệu quả

Tháng 4 26, 2026by viethandn Nhakhoa0

Sưng nướu răng không chỉ gây đau nhức, khó chịu mà còn có thể là dấu hiệu cảnh báo nhiều vấn đề răng miệng nghiêm trọng nếu không được xử lý kịp thời. Vậy nguyên nhân nào dẫn đến tình trạng này và đâu là cách khắc phục hiệu quả? Cùng Nha khoa Việt Hàn tìm hiểu chi tiết trong bài viết dưới đây để chủ động bảo vệ sức khỏe răng miệng và ngăn ngừa biến chứng không mong muốn.

Sưng nướu răng là gì?

Sưng nướu răng là tình trạng phần nướu bao quanh chân răng bị viêm, sưng to, đổi màu và dễ chảy máu. Ở trạng thái bình thường, nướu có màu hồng nhạt, săn chắc và ôm sát thân răng. Khi bị sưng, nướu thường trở nên đỏ sẫm, mềm và nhô cao bất thường.

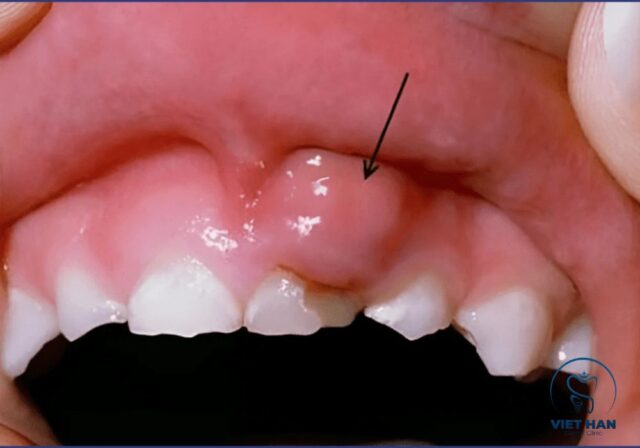
Sưng nướu răng khiến nướu đỏ, đau và dễ chảy máu.
Sưng nướu răng khiến nướu đỏ, đau và dễ chảy máu.

 

Tình trạng này không chỉ gây khó chịu khi ăn uống mà còn là dấu hiệu cảnh báo nhiều vấn đề răng miệng tiềm ẩn như viêm nướu, viêm nha chu hoặc nhiễm trùng răng.

 

Triệu chứng sưng nướu răng thường gặp

Người bị sưng nướu răng thường nhận thấy sự thay đổi rõ rệt ở vùng nướu. Ban đầu có thể chỉ là cảm giác hơi ê nhẹ, nhưng sau đó sẽ xuất hiện đau nhức rõ ràng hơn, đặc biệt khi nhai hoặc chạm vào.

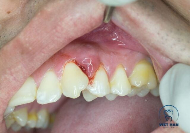
Triệu chứng sưng nướu răng gồm đau, chảy máu và hôi miệng
Triệu chứng sưng nướu răng gồm đau, chảy máu và hôi miệng

Nướu có xu hướng sưng to, chuyển sang màu đỏ tươi hoặc đỏ sẫm thay vì màu hồng tự nhiên. Một dấu hiệu rất phổ biến là chảy máu chân răng, kể cả khi đánh răng nhẹ. Một số trường hợp còn xuất hiện tụt nướu làm lộ chân răng, kèm theo hơi thở có mùi khó chịu do vi khuẩn tích tụ.

 

Nguyên nhân gây sưng nướu răng

Nguyên nhân phổ biến nhất của sưng nướu răng là do mảng bám tích tụ lâu ngày. Khi vi khuẩn trong mảng bám không được làm sạch, chúng sẽ kích thích nướu gây viêm và sưng. Nếu tình trạng này kéo dài, mảng bám sẽ cứng lại thành cao răng và khiến bệnh tiến triển nặng hơn.

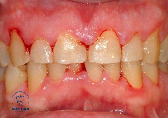
Nguyên nhân sưng nướu răng thường do mảng bám và vi khuẩn.
Nguyên nhân sưng nướu răng thường do mảng bám và vi khuẩn.

 

Ngoài ra, nhiễm trùng răng hoặc áp xe cũng có thể khiến nướu sưng, kèm theo đau dữ dội. Những vấn đề như sâu răng, răng khôn mọc lệch hoặc hàm giả không phù hợp cũng là yếu tố góp phần. Một số nguyên nhân khác ít được chú ý như chải răng quá mạnh, thay đổi nội tiết tố (đặc biệt ở phụ nữ), thiếu vitamin hoặc tác dụng phụ của thuốc cũng có thể khiến nướu nhạy cảm và dễ sưng hơn.

 

Sưng nướu răng có nguy hiểm không?

Khi vi khuẩn lan sâu, tình trạng viêm có thể tiến triển thành áp xe, phá hủy mô nướu và xương nâng đỡ răng. Điều này làm răng lung lay, thậm chí mất răng. Nguy hiểm hơn, nhiễm trùng có thể lan rộng sang xoang hàm hoặc các vùng khác trong cơ thể. Việc phát hiện và xử lý sớm không chỉ giúp giảm đau mà còn bảo vệ răng thật lâu dài.

Sưng nướu răng kéo dài có thể gây mất răng và biến chứng.
Sưng nướu răng kéo dài có thể gây mất răng và biến chứng.

 

Cách giảm sưng nướu răng hiệu quả

 Trong nhiều trường hợp, bác sĩ sẽ tiến hành lấy cao răng để loại bỏ mảng bám. Nếu nhiễm trùng, người bệnh có thể được chỉ định thuốc kháng sinh hoặc nước súc miệng chuyên dụng. Trường hợp nặng hơn liên quan đến tủy răng hoặc răng khôn, bác sĩ sẽ đưa ra phương án như điều trị tủy hoặc nhổ răng.

Điều trị sưng nướu răng cần làm sạch mảng bám và chăm sóc đúng cách.
Điều trị sưng nướu răng cần làm sạch mảng bám và chăm sóc đúng cách.

 

Bên cạnh đó, việc chăm sóc tại nhà cũng đóng vai trò hỗ trợ. Bạn nên đánh răng đúng cách, dùng chỉ nha khoa mỗi ngày và súc miệng bằng nước muối ấm để giảm viêm. Chế độ ăn uống lành mạnh, hạn chế đồ ngọt và chất kích thích cũng giúp cải thiện tình trạng đáng kể.

Khi nào cần đi khám nha khoa?

Không phải trường hợp sưng nướu nào cũng có thể tự cải thiện. Nếu bạn thấy nướu sưng kéo dài trên 1–2 tuần, chảy máu thường xuyên hoặc kèm theo đau nhức, hôi miệng dai dẳng thì nên đi khám càng sớm càng tốt. Việc trì hoãn có thể khiến tình trạng viêm lan rộng và làm tăng chi phí điều trị sau này.

 

Kết luận

Sưng nướu răng không chỉ gây khó chịu trong sinh hoạt mà còn là dấu hiệu cảnh báo nhiều bệnh lý răng miệng nguy hiểm. Việc nhận biết sớm nguyên nhân và điều trị đúng cách sẽ giúp bảo vệ nướu và giữ răng chắc khỏe lâu dài. Hãy đến Nha khoa Việt Hàn để được bác sĩ thăm khám kỹ lưỡng và tư vấn hướng điều trị phù hợp, giúp giảm sưng nhanh chóng và ngăn ngừa biến chứng về sau.

Leave a Reply

Your email address will not be published. Required fields are marked *

https://viethannhakhoa.com/wp-content/uploads/2023/06/Asset-1.png

Trao nụ cười – Nhận yêu thương

Nha Khoa Việt Hàn định hướng phát triển trở thành nha khoa uy tín – chất lượng cao tiêu chuẩn quốc tế

    This will close in 0 seconds