Hotline Messenger Zalo
 

Hàm duy trì có mấy loại? Cách chọn phù hợp

Tháng 3 23, 2026by viethandn Nhakhoa0

Hành trình niềng răng không kết thúc khi tháo mắc cài mà còn cần một giai đoạn quan trọng để duy trì kết quả chỉnh nha. Nếu không chăm sóc và đeo hàm duy trì đúng cách, răng rất dễ xô lệch trở lại. Vì vậy, việc hiểu rõ hàm duy trì là gì, có những loại nào và cần đeo bao lâu sẽ giúp bạn chủ động bảo vệ nụ cười đều đẹp sau niềng. Cùng Nha Khoa Việt Hàn tìm hiểu chi tiết để duy trì kết quả chỉnh nha ổn định và lâu dài nhé.

 

Hàm duy trì là gì? Hàm duy trì có mấy loại và cần đeo bao lâu?

Hàm duy trì là khí cụ chỉnh nha được bác sĩ chỉ định đeo sau khi tháo niềng răng nhằm giữ răng ổn định ở vị trí mới. Sau quá trình niềng, răng và xương hàm cần thêm thời gian để thích nghi nên rất dễ dịch chuyển trở lại vị trí ban đầu. Việc đeo hàm duy trì đúng cách giúp bảo vệ kết quả chỉnh nha và duy trì nụ cười đều đẹp lâu dài.

Đeo hàm duy trì đúng cách giúp nụ cười đều đẹp và khớp cắn ổn định theo thời gian.
Đeo hàm duy trì đúng cách giúp nụ cười đều đẹp và khớp cắn ổn định theo thời gian.

 

Vì sao cần đeo hàm duy trì sau niềng răng?

Sau khi tháo mắc cài hoặc khay niềng, các mô nha chu và xương hàm chưa ổn định hoàn toàn. Dây chằng quanh răng vẫn có xu hướng kéo răng về vị trí cũ nếu không có khí cụ giữ cố định. Hàm duy trì giúp răng thích nghi dần với vị trí mới, đồng thời hạn chế nguy cơ sai lệch khớp cắn hoặc tái phát sau điều trị.

Đeo hàm duy trì giúp răng thích nghi với vị trí mới sau khi tháo niềng.
Đeo hàm duy trì giúp răng thích nghi với vị trí mới sau khi tháo niềng.

 

Ngoài ra, mô nướu và cấu trúc nâng đỡ răng cần thời gian tái tổ chức. Vì vậy, việc tuân thủ đeo hàm theo hướng dẫn của bác sĩ là yếu tố quan trọng quyết định hiệu quả chỉnh nha lâu dài.

 

Hàm duy trì có mấy loại?

Hiện nay, hàm duy trì sau niềng răng được chia thành 3 loại phổ biến, mỗi loại có ưu và nhược điểm riêng tùy theo nhu cầu thẩm mỹ, chi phí và khả năng hợp tác của người đeo.

 

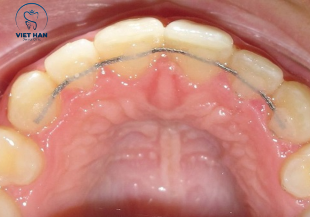
1. Hàm duy trì cố định

Hàm duy trì cố định thường là một đoạn dây kim loại mảnh được gắn vào mặt trong răng bằng vật liệu composite. Loại hàm này giúp giữ răng ổn định liên tục 24/7 nên hạn chế tối đa nguy cơ quên đeo. Đồng thời, vì nằm ở mặt trong nên gần như không ảnh hưởng đến thẩm mỹ khi giao tiếp.

Hàm duy trì cố định gắn mặt trong răng giúp giữ răng ổn định liên tục.
Hàm duy trì cố định gắn mặt trong răng giúp giữ răng ổn định liên tục.

 

Tuy nhiên, nhược điểm là khó vệ sinh hơn so với các loại tháo lắp. Nếu không chăm sóc răng miệng kỹ, mảng bám có thể tích tụ gây sâu kẽ hoặc viêm nướu. Ngoài ra, không phải trường hợp nào cũng có thể áp dụng hàm cố định vì còn phụ thuộc vào khớp cắn của từng người.

 

2. Hàm duy trì tháo lắp bằng khay nhựa trong suốt

Đây là loại hàm duy trì được nhiều người lựa chọn nhờ tính thẩm mỹ cao. Khay nhựa trong suốt được thiết kế riêng theo khuôn răng nên ôm sát và khá thoải mái khi đeo. Người dùng có thể tháo ra khi ăn uống hoặc vệ sinh răng miệng nên việc chăm sóc khá thuận tiện.

Hàm duy trì trong suốt mang lại thẩm mỹ cao và dễ tháo lắp khi ăn uống.
Hàm duy trì trong suốt mang lại thẩm mỹ cao và dễ tháo lắp khi ăn uống.

 

Dù vậy, vì có thể tháo lắp nên một số người dễ quên đeo hoặc làm thất lạc. Nếu không tuân thủ thời gian sử dụng theo chỉ định, hiệu quả duy trì kết quả niềng răng có thể bị ảnh hưởng.

 

3. Hàm duy trì tháo lắp kim loại (Hawley)

Hàm duy trì kim loại gồm nền nhựa acrylic kết hợp dây kim loại ôm phía trước răng. Loại này có độ bền cao, có thể điều chỉnh lực khi cần và phù hợp với nhiều trường hợp chỉnh nha. Việc tháo lắp cũng giúp ăn nhai và vệ sinh dễ dàng hơn.

Hàm duy trì Hawley có độ bền cao và dễ điều chỉnh khi cần.
Hàm duy trì Hawley có độ bền cao và dễ điều chỉnh khi cần.

 

Nhược điểm là tính thẩm mỹ không cao bằng khay trong suốt do dây kim loại có thể lộ khi cười nói. Người đeo cũng cần thời gian làm quen vì cảm giác cộm hoặc vướng nhẹ trong giai đoạn đầu.

 

Thời gian đeo hàm duy trì là bao lâu?

Thời gian đeo hàm duy trì tùy thuộc vào tình trạng răng và độ ổn định của xương hàm sau niềng. Thông thường, người trưởng thành cần đeo liên tục từ 6–12 tháng đầu với thời gian khoảng 20–22 giờ mỗi ngày. Sau giai đoạn này, bác sĩ có thể hướng dẫn giảm dần thời gian đeo, ví dụ chỉ đeo buổi tối.

Trồng răng implant đau không còn là nỗi lo khi được gây tê đúng kỹ thuật, quá trình cấy ghép diễn ra nhẹ nhàng và an toàn.
Trồng răng implant đau không còn là nỗi lo khi được gây tê đúng kỹ thuật, quá trình cấy ghép diễn ra nhẹ nhàng và an toàn.

 

Lưu ý quan trọng khi sử dụng hàm duy trì

Để hàm duy trì phát huy hiệu quả tối đa, người dùng cần vệ sinh răng miệng sạch sẽ và tái khám định kỳ theo lịch hẹn. Với hàm tháo lắp, nên chải rửa nhẹ nhàng và bảo quản trong hộp chuyên dụng khi không sử dụng. Đồng thời, hạn chế ăn thực phẩm quá cứng hoặc quá nóng khi đang đeo hàm để tránh biến dạng khí cụ.

 

Kết luận

Hàm duy trì đóng vai trò quan trọng trong việc giữ răng ổn định sau niềng và ngăn ngừa tình trạng tái phát. Việc lựa chọn loại hàm phù hợp nên dựa trên tư vấn chuyên môn của bác sĩ chỉnh nha. Nếu bạn vừa tháo niềng hoặc đang băn khoăn về thời gian đeo hàm duy trì, hãy đến Nha khoa Việt Hàn để được thăm khám và hướng dẫn chi tiết nhằm duy trì nụ cười đều đẹp lâu dài. 

Leave a Reply

Your email address will not be published. Required fields are marked *

https://viethannhakhoa.com/wp-content/uploads/2023/06/Asset-1.png

Trao nụ cười – Nhận yêu thương

Nha Khoa Việt Hàn định hướng phát triển trở thành nha khoa uy tín – chất lượng cao tiêu chuẩn quốc tế

    This will close in 0 seconds