Hotline Messenger Zalo
 

Có nên niềng răng mặt trong? Ưu nhược điểm cần biết

Tháng 3 26, 2026by viethandn Nhakhoa0

Niềng răng mặt trong là phương pháp chỉnh nha hiện đại giúp sắp xếp răng đều đẹp nhưng vẫn đảm bảo tính thẩm mỹ trong suốt quá trình điều trị. Khí cụ niềng được gắn ở mặt trong của răng (phía tiếp xúc với lưỡi), vì vậy người đối diện rất khó nhận ra bạn đang niềng. Hỹ cùng tìm hiểu với Nha khoa Việt Hàn!

 

Niềng răng mặt trong là gì?

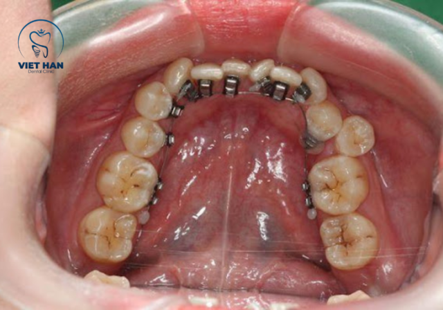
Niềng răng mặt trong (hay còn gọi là niềng răng mặt lưỡi) sử dụng hệ thống mắc cài, dây cung và khí cụ chỉnh nha tương tự phương pháp truyền thống nhưng được gắn vào phía trong thân răng. Lực kéo từ dây cung giúp răng dịch chuyển dần về vị trí chuẩn trên cung hàm, cải thiện các tình trạng như răng hô, móm, chen chúc hay sai khớp cắn.

Niềng răng mặt trong hoạt động bằng lực kéo ổn định giúp răng dịch chuyển về vị trí chuẩn.
Niềng răng mặt trong hoạt động bằng lực kéo ổn định giúp răng dịch chuyển về vị trí chuẩn.

 

Ưu và nhược điểm của niềng răng mặt trong

Niềng răng mặt trong mang lại hiệu quả chỉnh nha tốt nhờ cơ chế tạo lực ổn định giúp răng di chuyển đúng vị trí. Hệ thống mắc cài được “giấu” phía trong nên đảm bảo tính thẩm mỹ tối đa. Ngoài ra, phương pháp này còn giúp hạn chế tổn thương vùng môi và má do không có khí cụ ở mặt ngoài răng.

Niềng răng mặt trong đảm bảo thẩm mỹ cao nhưng cần thời gian thích nghi ban đầu.
Niềng răng mặt trong đảm bảo thẩm mỹ cao nhưng cần thời gian thích nghi ban đầu.

 

Việc vệ sinh răng miệng có thể khó khăn hơn do mắc cài nằm ở vị trí khuất. Trong thời gian đầu, người niềng dễ cảm thấy vướng lưỡi hoặc nói chưa quen. Bên cạnh đó, chi phí điều trị cao và yêu cầu bác sĩ có chuyên môn sâu cũng là yếu tố cần cân nhắc.

 

Niềng răng mặt trong phù hợp với ai?

Phương pháp này thường được lựa chọn bởi người trưởng thành, nhân viên văn phòng, người làm dịch vụ hoặc những ai mong muốn niềng răng kín đáo. Niềng răng mặt trong có thể áp dụng cho nhiều tình trạng. Tuy nhiên, người có xương hàm yếu hoặc thói quen đẩy lưỡi mạnh nên được bác sĩ đánh giá kỹ trước khi điều trị.

Người trưởng thành lựa chọn niềng răng mặt trong để chỉnh nha kín đáo.
Người trưởng thành lựa chọn niềng răng mặt trong để chỉnh nha kín đáo.

 

Quy trình niềng răng mặt trong

Quy trình chỉnh nha thường bắt đầu bằng bước thăm khám và chụp phim để xác định tình trạng răng. Sau đó bác sĩ lấy dấu răng, lập kế hoạch điều trị và tiến hành gắn mắc cài ở mặt trong. Trong suốt quá trình niềng, bệnh nhân cần tái khám định kỳ để điều chỉnh lực kéo. Khi răng đã đạt kết quả mong muốn, mắc cài sẽ được tháo và người niềng cần đeo hàm duy trì để giữ ổn định vị trí răng.

Bác sĩ gắn mắc cài niềng răng mặt trong theo kế hoạch điều trị cá nhân hóa.
Bác sĩ gắn mắc cài niềng răng mặt trong theo kế hoạch điều trị cá nhân hóa.

Vì sao niềng răng mặt trong có chi phí cao?

Kỹ thuật gắn mắc cài phía trong đòi hỏi độ chính xác cao và thao tác phức tạp hơn so với niềng truyền thống. Bác sĩ cần kinh nghiệm chuyên sâu để kiểm soát lực kéo hiệu quả. Ngoài ra, hệ thống máy móc hiện đại và quy trình cá nhân hóa kế hoạch điều trị cũng góp phần làm tăng chi phí.

Bác sĩ cần kinh nghiệm chuyên sâu khi thực hiện niềng răng mặt trong.
Bác sĩ cần kinh nghiệm chuyên sâu khi thực hiện niềng răng mặt trong.

Kết luận

 

Niềng răng mặt trong là giải pháp chỉnh nha hiện đại giúp cải thiện thẩm mỹ nụ cười mà vẫn đảm bảo hiệu quả điều trị. Tuy chi phí cao và cần chăm sóc kỹ lưỡng, nhưng đây vẫn là lựa chọn phù hợp với những ai mong muốn niềng răng kín đáo và chuyên nghiệp. Đừng ngần ngại đến Nha khoa Việt Hàn để được thăm khám miễn phí, chụp phim và tư vấn chi tiết về phương pháp niềng răng mặt trong. Đội ngũ bác sĩ chuyên môn cao sẽ giúp bạn lựa chọn giải pháp chỉnh nha an toàn, tiết kiệm và phù hợp nhất.

 

Leave a Reply

Your email address will not be published. Required fields are marked *

https://viethannhakhoa.com/wp-content/uploads/2023/06/Asset-1.png

Trao nụ cười – Nhận yêu thương

Nha Khoa Việt Hàn định hướng phát triển trở thành nha khoa uy tín – chất lượng cao tiêu chuẩn quốc tế

    This will close in 0 seconds