Hotline Messenger Zalo
 

Khớp cắn ngược: Dấu hiệu, nguyên nhân và hướng điều trị 

Tháng 4 9, 2026by viethandn Nhakhoa0

Khớp cắn ngược là một dạng sai lệch khớp cắn, không chỉ ảnh hưởng đến thẩm mỹ khuôn mặt mà còn gây khó khăn trong ăn nhai và giao tiếp. Cùng Nha khoa Việt Hàn tìm hiểu và nhận biết sớm để lựa chọn phương pháp điều trị phù hợp.

 

Khớp cắn ngược là gì? 

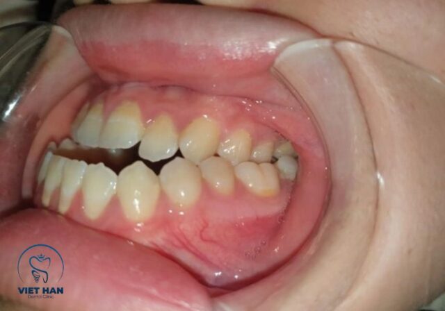
Khớp cắn ngược là tình trạng sai lệch khớp cắn khi hàm dưới đưa ra phía trước so với hàm trên, răng cửa hàm dưới nằm ngoài răng cửa hàm trên. Đây là một dạng sai khớp cắn nghiêm trọng, làm mất cân đối khuôn mặt, ảnh hưởng chức năng ăn nhai và phát âm.

Khớp cắn ngược là tình trạng hàm dưới nhô ra trước, làm mất cân đối khuôn mặt.
Khớp cắn ngược là tình trạng hàm dưới nhô ra trước, làm mất cân đối khuôn mặt.

 

Tình trạng này có thể xuất hiện từ sớm trong giai đoạn phát triển hoặc rõ rệt hơn khi trưởng thành. Nếu không được phát hiện và can thiệp kịp thời,  có thể khiến cấu trúc xương hàm phát triển lệch ngày càng nặng hơn.

 

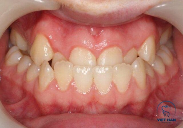
Dấu hiệu nhận biết khớp cắn ngược thường gặp

  • Răng hàm dưới chìa ra ngoài so với răng hàm trên
  • Cằm nhô ra phía trước, khuôn mặt mất cân đối
  • Hai hàm không khít khi cắn lại
  • Khó khăn khi ăn nhai, dễ mỏi hàm
  • Phát âm không rõ, nói ngọng nhẹ
Dấu hiệu khớp cắn ngược gồm cằm nhô, răng dưới chìa ra và khớp cắn lệch.
Dấu hiệu khớp cắn ngược gồm cằm nhô, răng dưới chìa ra và khớp cắn lệch.

 

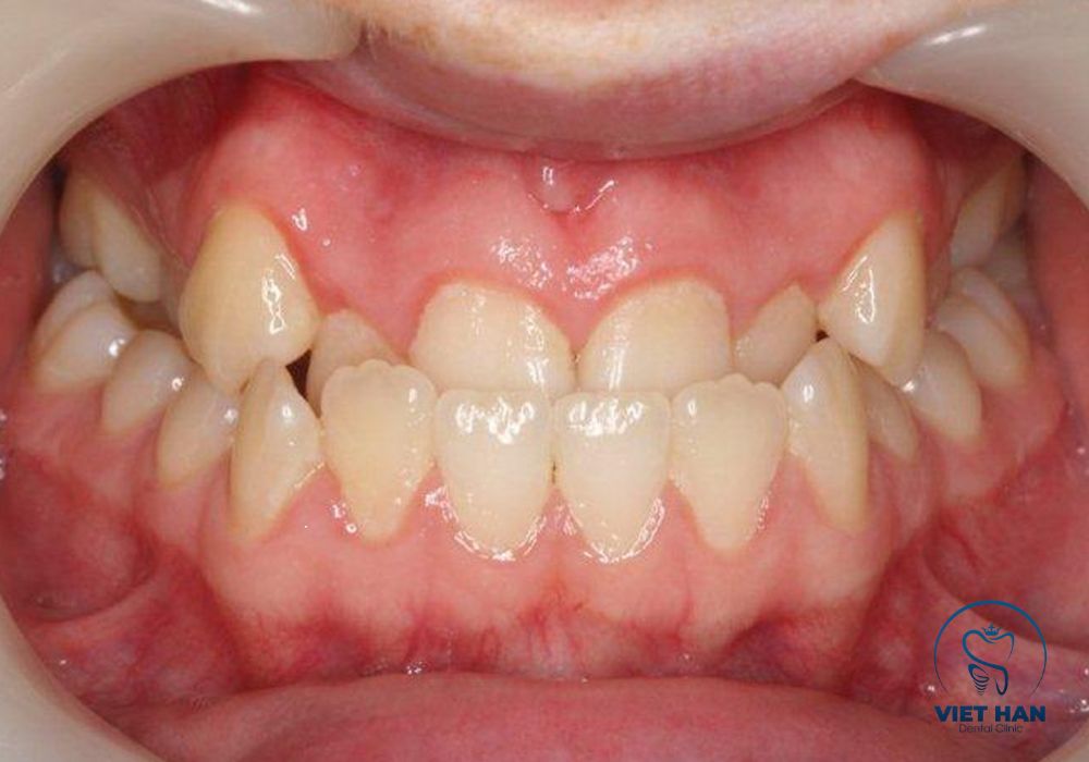
Nguyên nhân gây khớp cắn ngược

Khớp cắn ngược có thể xuất phát từ nhiều nguyên nhân khác nhau, phổ biến nhất là di truyền. Nếu trong gia đình có người bị móm hoặc sai lệch khớp cắn, khả năng thế hệ sau gặp tình trạng này sẽ cao hơn.

Khớp cắn ngược có thể do di truyền, thói quen xấu hoặc phát triển xương hàm bất thường.
Khớp cắn ngược có thể do di truyền, thói quen xấu hoặc phát triển xương hàm bất thường.

 

Bên cạnh đó, các thói quen xấu từ nhỏ như mút tay, đẩy lưỡi, ngậm ti giả lâu hoặc thở bằng miệng cũng góp phần làm sai lệch quá trình phát triển của xương hàm. Ngoài ra, sự phát triển không đồng đều giữa hàm trên và hàm dưới, hoặc các yếu tố như chấn thương, bệnh lý vùng hàm mặt cũng có thể dẫn đến khớp cắn ngược.

 

Khớp cắn ngược gây ảnh hưởng gì đến sức khỏe?

Khớp cắn ngược không chỉ ảnh hưởng đến thẩm mỹ mà còn tác động trực tiếp đến sức khỏe răng miệng và toàn cơ thể. Khi hai hàm không khớp đúng, quá trình ăn nhai sẽ trở nên kém hiệu quả, khiến thức ăn không được nghiền nhỏ, lâu dài có thể gây áp lực lên hệ tiêu hóa.

Khớp cắn ngược gây khó ăn nhai, mất thẩm mỹ và tăng nguy cơ bệnh răng miệng.
Khớp cắn ngược gây khó ăn nhai, mất thẩm mỹ và tăng nguy cơ bệnh răng miệng.

 

Ngoài ra, tình trạng này còn làm tăng nguy cơ mắc các bệnh lý như sâu răng, viêm nướu do việc vệ sinh răng miệng khó khăn. Một số trường hợp còn gặp vấn đề về khớp thái dương hàm, gây đau đầu, đau hàm và khó chịu khi vận động hàm. Về mặt thẩm mỹ, khuôn mặt trở nên kém hài hòa, làm giảm sự tự tin.

 

Phương pháp điều trị khớp cắn ngược hiện nay

Khớp cắn ngược được điều trị tùy theo mức độ: nhẹ có thể niềng răng hoặc bọc sứ (theo chỉ định), còn nặng liên quan xương hàm cần phẫu thuật để cải thiện cả ăn nhai và thẩm mỹ. Tại Nha khoa Việt Hàn, quá trình điều trị khớp cắn ngược được thực hiện bởi đội ngũ bác sĩ chuyên môn cao, giàu kinh nghiệm trong lĩnh vực chỉnh nha và điều trị sai lệch khớp cắn. 

Cải thiện khớp cắn ngược tại Nha khoa Việt Hàn an toàn, hiệu quả, thẩm mỹ cao.
Cải thiện khớp cắn ngược tại Nha khoa Việt Hàn an toàn, hiệu quả, thẩm mỹ cao.

 

Nha khoa còn mang đến nhiều chính sách hỗ trợ hấp dẫn giúp khách hàng an tâm điều trị:

  • Trả góp lãi suất 0%
  • Thăm khám, tư vấn, lên phác đồ miễn phí cùng bác sĩ chuyên môn cao
  • Combo quà tặng 2 triệu gồm máy tăm nước, bộ chăm sóc răng miệng và mũ bảo hiểm thời trang.

 

Kết luận

Khớp cắn ngược là tình trạng cần được phát hiện và điều trị sớm để tránh những ảnh hưởng lâu dài đến thẩm mỹ và sức khỏe. Việc lựa chọn đúng phương pháp và địa chỉ nha khoa uy tín đóng vai trò rất quan trọng trong quá trình cải thiện khớp cắn. Hãy đến ngay Nha khoa Việt Hàn để được thăm khám miễn phí và tư vấn giải pháp phù hợp.

Leave a Reply

Your email address will not be published. Required fields are marked *

https://viethannhakhoa.com/wp-content/uploads/2023/06/Asset-1.png

Trao nụ cười – Nhận yêu thương

Nha Khoa Việt Hàn định hướng phát triển trở thành nha khoa uy tín – chất lượng cao tiêu chuẩn quốc tế

    This will close in 0 seconds