Hotline Messenger Zalo
 

Cạo vôi răng là gì? Vì sao cần thực hiện định kỳ

Tháng 4 11, 2026by viethandn Nhakhoa0

Cạo vôi răng là một trong những dịch vụ cực kỳ quan trọng giúp bảo vệ sức khỏe răng miệng lâu dài. Sau mỗi bữa ăn, một lớp màng vi khuẩn mỏng sẽ hình thành. Nếu không được làm sạch kỹ sẽ dần tích tụ, cứng lại và trở thành cao răng. Cùng Nha Khoa Việt Hàn tìm hiểu kỹ về dịch vụ này!

Cao răng hình thành như thế nào?

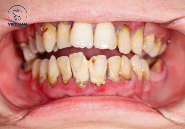
Cạo vôi răng là giải pháp cần thiết bởi cao răng được hình thành từ mảng bám tích tụ lâu ngày kết hợp với khoáng chất trong nước bọt. Ban đầu chỉ là lớp màng mềm, nhưng theo thời gian sẽ trở nên cứng và bám chặt vào răng.

Cạo vôi răng là phương pháp loại bỏ mảng bám cứng đầu giúp răng sạch và khỏe hơn.
Cạo vôi răng là phương pháp loại bỏ mảng bám cứng đầu giúp răng sạch và khỏe hơn.

 

Cao răng thường xuất hiện ở cả trên và dưới nướu, có màu vàng nhạt, nâu hoặc thậm chí đen. Đặc biệt, cao răng dưới nướu khó nhận biết hơn nhưng lại là nguyên nhân chính gây viêm nướu và viêm nha chu.

 

Tác hại khi không cạo vôi răng

Cạo vôi răng không chỉ mang tính thẩm mỹ mà còn giúp ngăn ngừa hàng loạt vấn đề răng miệng. Khi cao răng tích tụ lâu ngày, vi khuẩn sẽ phát triển mạnh và gây ra nhiều biến chứng nguy hiểm.

Không cạo vôi răng dễ gây viêm nướu, hôi miệng và nhiều bệnh lý răng miệng.
Không cạo vôi răng dễ gây viêm nướu, hôi miệng và nhiều bệnh lý răng miệng.

 

  • Gây hôi miệng do vi khuẩn phân hủy thức ăn
  • Làm răng ố vàng, mất thẩm mỹ
  • Gây viêm nướu, chảy máu chân răng
  • Làm tăng nguy cơ sâu răng
  • Dẫn đến viêm nha chu, tụt lợi, thậm chí mất răng
  • Ảnh hưởng đến sức khỏe toàn thân như tim mạch hoặc hô hấp nếu không được kiểm soát.

 

Cạo vôi răng có đau không?

Nhiều người lo lắng cạo vôi răng sẽ gây đau, nhưng thực tế đây là thủ thuật nhẹ nhàng và an toàn. Trong quá trình thực hiện, bác sĩ sử dụng sóng siêu âm để làm sạch cao răng mà không gây tổn thương men răng.

Không cạo vôi răng dễ gây viêm nướu, hôi miệng và nhiều bệnh lý răng miệng.
Không cạo vôi răng dễ gây viêm nướu, hôi miệng và nhiều bệnh lý răng miệng.

 

Một số trường hợp có thể cảm thấy ê nhẹ nếu răng nhạy cảm hoặc cao răng bám nhiều dưới nướu. Tuy nhiên, cảm giác này thường nhanh chóng biến mất sau khi hoàn tất.

 

Bao lâu nên cạo vôi răng một lần?

Cạo vôi răng nên được thực hiện định kỳ để đảm bảo răng luôn sạch và khỏe. Thời gian lý tưởng phụ thuộc vào tình trạng răng miệng của mỗi người.

Nên cạo vôi răng 3–6 tháng/lần để duy trì sức khỏe răng miệng ổn định.
Nên cạo vôi răng 3–6 tháng/lần để duy trì sức khỏe răng miệng ổn định.

 

Thông thường, bạn nên cạo vôi răng mỗi 6 tháng/lần. Tuy nhiên, với những người hút thuốc, uống cà phê nhiều hoặc vệ sinh răng miệng chưa tốt, nên thực hiện sớm hơn, khoảng 3–4 tháng/lần để ngăn ngừa cao răng tích tụ.

 

Cách chăm sóc răng sau khi cạo vôi răng

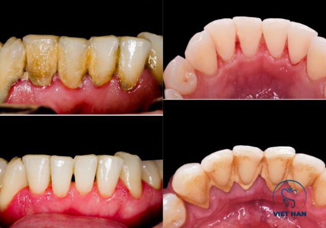
Sau khi cạo vôi răng, răng có thể nhạy cảm nhẹ trong thời gian ngắn nên cần chăm sóc đúng cách để bảo vệ men răng và hạn chế tái bám mảng bám.

Sau khi cạo vôi răng nên tránh đồ nóng lạnh và giữ vệ sinh răng miệng đúng cách.
Sau khi cạo vôi răng nên tránh đồ nóng lạnh và giữ vệ sinh răng miệng đúng cách.

 

Bạn nên tránh ăn đồ quá nóng hoặc quá lạnh, hạn chế thực phẩm có màu như cà phê, trà đậm màu. Đồng thời, cần duy trì thói quen đánh răng đúng cách, dùng chỉ nha khoa và súc miệng thường xuyên để giữ răng sạch lâu hơn.

 

Cách ngăn ngừa cao răng hiệu quả

Bạn nên chải răng ít nhất 2 lần mỗi ngày bằng kem chứa fluor, sử dụng chỉ nha khoa để làm sạch kẽ răng và xây dựng chế độ ăn uống lành mạnh. Việc hạn chế đồ ngọt, thực phẩm dính và thăm khám nha khoa định kỳ cũng đóng vai trò rất quan trọng.

Đánh răng đúng cách kết hợp cạo vôi răng định kỳ giúp hạn chế cao răng tích tụ.
Đánh răng đúng cách kết hợp cạo vôi răng định kỳ giúp hạn chế cao răng tích tụ.

Kết luận

Cạo vôi răng là bước chăm sóc răng miệng cần thiết giúp loại bỏ vi khuẩn, ngăn ngừa bệnh lý và duy trì nụ cười khỏe đẹp. Nếu bạn đang gặp tình trạng cao răng, hôi miệng hoặc viêm nướu, hãy đến Nha khoa Việt Hàn để được thăm khám, tư vấn miễn phí và trải nghiệm dịch vụ cạo vôi răng an toàn, nhẹ nhàng, chuẩn y khoa.

Leave a Reply

Your email address will not be published. Required fields are marked *

https://viethannhakhoa.com/wp-content/uploads/2023/06/Asset-1.png

Trao nụ cười – Nhận yêu thương

Nha Khoa Việt Hàn định hướng phát triển trở thành nha khoa uy tín – chất lượng cao tiêu chuẩn quốc tế

    This will close in 0 seconds