Hotline Messenger Zalo
 

Nong hàm là gì? Có cần thiết khi niềng răng không?

Tháng 4 12, 2026by viethandn Nhakhoa0

Nong hàm trong quá trình chỉnh nha không phải ai cũng chỉ đơn thuần gắn mắc cài là có thể sở hữu hàm răng đều đẹp. Vậy nong hàm là gì, có thực sự cần thiết khi niềng răng không? Bài viết dưới đây của Nha Khoa Việt Hàn sẽ giúp bạn hiểu rõ toàn diện trước khi quyết định điều trị.

 

Nong hàm là gì? Vai trò của nong hàm trong chỉnh nha

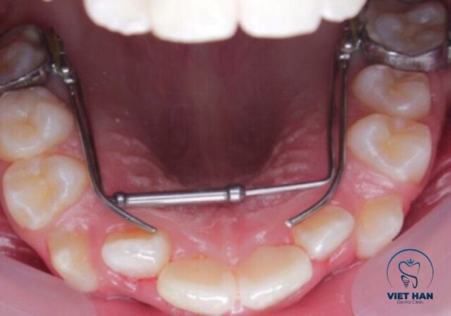
Nong hàm là kỹ thuật trong chỉnh nha sử dụng khí cụ chuyên dụng để mở rộng cung hàm, giúp tăng diện tích vòm miệng và tạo khoảng trống cho răng dịch chuyển.

Khí cụ nong hàm giúp mở rộng cung hàm, hỗ trợ niềng răng hiệu quả.
Khí cụ nong hàm giúp mở rộng cung hàm, hỗ trợ niềng răng hiệu quả.

 

Phương pháp này thường áp dụng cho hàm trên và được thực hiện trước hoặc trong quá trình niềng răng. Khi cung hàm đủ rộng, các răng có thể sắp xếp đều mà không cần nhổ răng trong nhiều trường hợp. Nong hàm đóng vai trò quan trọng trong việc tối ưu hiệu quả chỉnh nha, giúp cải thiện khớp cắn và tăng tính thẩm mỹ tổng thể.

 

Trường hợp nào cần nong hàm khi niềng răng?

Không phải ai niềng răng cũng cần nong hàm. Bác sĩ sẽ chỉ định kỹ thuật này trong các trường hợp sau:

  • Cung hàm hẹp, không đủ diện tích cho răng
  • Răng mọc chen chúc, khấp khểnh
  • Hàm lệch, mất cân đối hai bên
  • Thiếu khoảng trống để răng dịch chuyển
Nong hàm được chỉ định khi cung hàm hẹp hoặc răng thiếu chỗ sắp xếp.
Nong hàm được chỉ định khi cung hàm hẹp hoặc răng thiếu chỗ sắp xếp.

 

Trong một số trường hợp, nong hàm có thể thay thế việc nhổ răng. Tuy nhiên, với tình trạng phức tạp, bác sĩ có thể kết hợp cả hai phương pháp để đạt hiệu quả tối ưu.

 

Nong hàm có thay đổi khuôn mặt không?

Nong hàm có thể làm thay đổi khuôn mặt, nhưng mức độ thường không lớn và diễn ra theo hướng tích cực. Sự thay đổi phụ thuộc vào tình trạng xương hàm ban đầu, nhưng đa số trường hợp đều mang lại cải thiện thẩm mỹ.

Nong hàm giúp khuôn mặt cân đối hơn nhưng thay đổi nhẹ, khó nhận biết.
Nong hàm giúp khuôn mặt cân đối hơn nhưng thay đổi nhẹ, khó nhận biết.

 

Khi cung hàm được mở rộng, cấu trúc gương mặt trở nên cân đối hơn, đặc biệt với những người có hàm hẹp hoặc lệch. Ngoài ra, khớp cắn được cải thiện cũng giúp gương mặt hài hòa và tự nhiên hơn.

 

Thời gian và các phương pháp nong hàm phổ biến

Thời gian nong hàm thường kéo dài từ 1–3 tháng, tùy vào độ tuổi, cấu trúc xương hàm và phương pháp áp dụng.

Nong hàm thường kéo dài 1–3 tháng tùy phương pháp và tình trạng răng.
Nong hàm thường kéo dài 1–3 tháng tùy phương pháp và tình trạng răng.

 

Một số phương pháp nong hàm phổ biến gồm:

  • Bằng dây cung: phù hợp trường hợp nhẹ
  • Nong hàm nhanh (RPE): mở rộng xương hàm nhanh chóng
  • Nong hàm chậm: lực nhẹ, ổn định, ít đau

Ngoài ra, khí cụ nong hàm có thể là loại tháo lắp hoặc cố định. Việc lựa chọn phương pháp sẽ do bác sĩ quyết định dựa trên tình trạng cụ thể.

 

Lợi ích của nong hàm và lưu ý khi thực hiện

  • Tạo khoảng trống để răng sắp xếp đều
  • Hạn chế hoặc tránh nhổ răng
  • Cải thiện khớp cắn và chức năng ăn nhai
  • Tăng tính thẩm mỹ khuôn mặt
  • Hỗ trợ quá trình niềng răng đạt hiệu quả cao
Nong hàm giúp cải thiện khớp cắn và tăng hiệu quả niềng răng.
Nong hàm giúp cải thiện khớp cắn và tăng hiệu quả niềng răng.

 

Tuy nhiên, để đảm bảo an toàn, bạn cần thực hiện tại nha khoa uy tín và tuân thủ hướng dẫn của bác sĩ. Việc tự ý điều chỉnh khí cụ hoặc không tái khám đúng lịch có thể ảnh hưởng đến kết quả điều trị.

 

Kết luận

Nong hàm là bước quan trọng trong nhiều ca chỉnh nha, giúp tạo nền tảng vững chắc cho quá trình niềng răng. Tuy không phải ai cũng cần thực hiện, nhưng nếu được chỉ định đúng. Để biết chính xác có cần nong hàm hay không, bạn nên thăm khám trực tiếp tại nha khoa để được bác sĩ tư vấn chi tiết và đưa ra phác đồ phù hợp nhất.

Bài viết liên quan:

Có thể niềng răng không nhổ răng trường hợp nào?

Có nên niềng răng mặt trong? Ưu nhược điểm cần biết

Có được niềng răng một hàm không? Lưu ý trước khi niềng?

Cắt nướu có ảnh hưởng đến tốc độ niềng răng không?

Leave a Reply

Your email address will not be published. Required fields are marked *

https://viethannhakhoa.com/wp-content/uploads/2023/06/Asset-1.png

Trao nụ cười – Nhận yêu thương

Nha Khoa Việt Hàn định hướng phát triển trở thành nha khoa uy tín – chất lượng cao tiêu chuẩn quốc tế

    This will close in 0 seconds